一日全口重建 一日展現笑容


自從做了全口重建後,我的生活真的有了很大的改變,現在笑起來比以前更有自信,吃東西也不像過去那麼多限制,什麼都可以開心地享用,以前因為牙齒狀況不好,總是推掉朋友的邀約,不敢跟他們一起出去玩、吃飯,只能每天在家和上班兩點一線,生活很單調,現在不一樣了,朋友說要去哪裡吃東西,我都可以開心地答應,生活變得豐富許多。
最感謝的是一直陪伴我的家人,每次看診、手術都是他陪著我,因為他知道我很害怕,也一直給我支持和安慰,還有醫生和團隊,他們非常親切細心,讓我在治療過程中安心很多。
其實我本來很怕看醫生,但這裡的醫師真的讓我很放心,牙齒做得又漂亮又自然。現在每次回診,大家都誇我變得更有自信,連我兒子都說:「媽媽,還好妳有勇敢來做!」真的很感謝所有幫助我的人,讓我重新找回快樂和自信的人生!
術前評估—全口重建治療計畫與術前規劃
All-on-4/6 全口重建是一個很完整、系統性的治療流程,我們在開始之前,會先幫您做詳細的評估,包括拍攝X光、3D斷層掃描,還有口內外的檢查,來了解目前牙齒、骨頭和牙周的狀況,接下來,我們會根據您的需求和生活習慣,討論最適合您的治療方式。
在術前規劃這一塊,我們現在都會使用數位化工具,像是數位印模和3D電腦模擬,幫助我們更精準地設計未來的牙齒排列和咬合狀態,這樣可以預先模擬出手術後的效果,也方便跟患者溝通,讓您知道大概會長什麼樣子。再來就是會安排每一步的治療時程,包含拔牙、植牙、臨時假牙到正式假牙裝戴的時間點,盡量減少您生活上的不便。
整體來說,全口重建就是希望能夠在安全、舒適的前提下,幫您恢復咬合功能和美觀,讓您重新找回自信和生活品質。如果有任何疑問或擔心的地方,隨時都可以跟我們討論,我們會陪著您一起完成治療。

▲初診的環口式X光片檢查,上、下顎嚴重缺牙

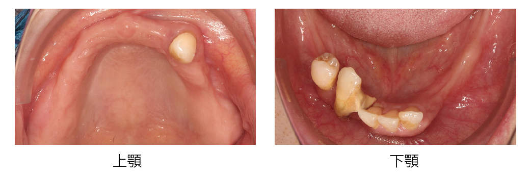
▲初診的數位口內照可發現,上、下顎嚴重缺牙,下顎門牙牙根外漏,咬合崩壞造成牙齒位移

▲從數位照片可以發現,上下顎缺牙狀況
數位排牙—模擬未來 All-on牙齒型態,提高治療信心
在 All-on-4 全口重建的治療過程中,臨時假牙於過渡期扮演著極為重要的角色:患者能在手術當天立即配戴臨時假牙,迅速恢復咬合功能,大幅提升生活品質。

▲數位掃苗後建立 3D 模型,透過數位排牙模擬未來 All-on 假牙
透過數位印模建立的 3D 模型,醫師與牙技師可以在電腦上精確地調整每一顆 All-on-4 假牙的角度與位置,如果再結合臉部掃描或患者的外觀照片,更能真實模擬未來正式假牙安裝後的整體效果,讓假牙設計既貼合個人需求,也更接近理想的美觀與舒適。
All-on-4/6 一日全口重建
所謂 All-on-4 或 All-on-6 全口重建,其實就是我們用 4 根或 6 根植體,來支撐一整排的固定式假牙。這個方法最大的特色,就是不需要像傳統植牙那樣每顆牙都種一根植體,而是利用特別設計的位置和角度,讓少數幾根植體就能夠穩定地撐起全口的假牙。
▲在治療前會先幫您做詳細的評估,根據您的需求和生活習慣,討論最適合您的治療方式。
在治療流程上,通常我們會先做詳細的評估,包括拍攝 X 光、3D 電腦斷層,確認骨頭的狀況,確定適合之後,手術當天會先把不健康的牙齒處理掉,然後植入 4 根或 6 根植體,等植體穩定之後,當天就可以裝上臨時的固定假牙,讓您馬上恢復基本的咬合功能,不用擔心沒牙吃東西。

▲經All on 4/6一日全口重建後,大幅改善美觀、咬合
等到骨頭和植體完全結合,我們會再幫您換上更精細、更美觀的正式假牙,整個過程現在都可以搭配數位化工具進行規劃,讓假牙的外型、咬合都能做到很精準,也方便跟您討論設計上的需求。
總之,All-on-4 或 All-on-6 是目前很受歡迎的全口重建方式,優點是手術時間短、恢復快,而且成效自然又美觀。如果有任何疑問,歡迎隨時跟我們討論,我們會依照您的情況提供最合適的建議。
本療程須經專業醫師評估與規劃,實際成效依個人牙齒狀況而異,請與醫師討論合適方案。



