
■ 治療方式:人工植牙/立即植牙
■ 主治醫師:梁嘉元醫師
【真實心得】
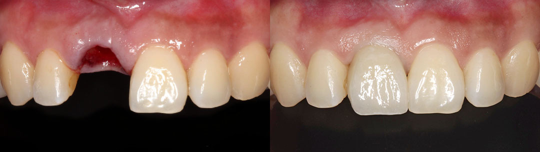
我剛還沒門面呢,不到一個小時,我就已經把斷掉牙根拔掉了,還植了牙呢,現在就連固定牙套都已經做好了!感謝梁嘉元醫師精湛的醫術,讓我一天就有牙齒。
原本因門牙斷裂而焦慮萬分,沒想到在梁嘉元醫師的專業協助下,僅用一個療程的時間,就順利完成拔牙、植牙與固定牙套的全套治療,過程中幾乎沒什麼不舒服,當天就可以自信地和朋友見面了!
立即植牙—缺牙不等待
快速恢復咀嚼功能與美觀笑容
所謂的「立即植牙」,其實就是在拔牙的同一天,直接把人工植體放進去,傳統上,如果要做植牙,通常會建議先把牙齒拔掉,然後等傷口癒合個幾個月,骨頭和牙齦都穩定下來,再安排植體手術。但現在技術進步,我們可以在拔牙的當下,就直接把植體種進去,這就是所謂的「即拔即種」。
這種方式有幾個很明顯的優點。
1.縮短療程時間:
不用拔完牙再等好幾個月才開始植牙,而是一次就能完成兩個步驟,對於生活節奏比較忙碌、希望盡快恢復咬合功能的患者來說,真的方便許多。
2.減少骨質流失:
從生理學角度來說,牙齒拔掉之後,骨頭會因為缺乏刺激而慢慢萎縮,但如果我們馬上把植體放進去,可以利用原本牙根的位置,減少骨質流失,也比較容易保留住自然的牙齦形態和外觀,對美觀有很大的幫助。
立即植牙治療計畫與準備工作
如何確保穩定與安全
曾小姐是一位三十多歲的採購人員,一開始來找我植牙的原因,初步詢問後是原本抽過神經的門牙有裝上假牙牙套,因為咬到硬物造成門牙假牙斷裂,反覆黏著假牙後,還是覺得咬硬物仍有一頂風險,初診詢問身體狀況並沒有重大的系統性疾病,也沒有抽菸等習慣,當下也拍攝環口式的X光片和做口內檢查紀錄。

從環口式的X光片可以發現,右上門牙牙齒抽過神經
但不是每一位患者都適合做立即植牙,這需要我們在術前做非常仔細的評估,首先會幫您拍X光片,必要時也會做3D電腦斷層掃描,來看您的骨頭高度、厚度還有密度夠不夠,如果原本的牙齒因為嚴重感染或周圍骨頭已經被破壞得很嚴重,那麼可能就不建議立即植牙;反過來說,如果骨頭條件良好、沒有急性發炎或囊腫,通常就蠻適合這樣的治療方式。
所以曾小姐在我們評估後就安排立即植牙的手術,在手術當下拔除右上門牙,並植入人工牙根。

▲從局部X光片紀錄中可以看出拔牙當下,立即植入人工牙根
另外,軟組織的狀況也很重要,我們會檢查牙齦是否健康,有沒有足夠的牙齦量來包覆植體,這些都會影響到植牙後的穩定性和美觀,假如有一些輕微的骨缺損,有時候我們也會搭配補骨粉或補牙齦的手術,一起處理,讓植體周圍的支持更完整。

▲從數位照片可以看出,手術當天立即有牙,大幅改善門面的美觀問題
▲植體植入後鎖上臨時固定假牙,立即有牙不擔心美觀問題
什麼是臨時固定假牙
立即植牙—手術流程
至於手術當天的流程,大致上是這樣:我們會先幫您局部麻醉,確保過程中不會疼痛,接著小心翼翼地把需要拔除的牙齒取下來,並且徹底清理感染組織和齒槽骨、拔牙窩洞,確保環境乾淨,然後,根據事先規劃好的位置,把人工植體精準地植入原本牙根所在的位置,這個步驟很講究角度和深度,因為要確保未來假牙的受力均勻,也要避免傷到附近的重要結構。

如果骨頭的初期穩定度夠好,有時候我們可以在同一天裝上臨時假牙,這樣您就不用擔心美觀問題,也能維持基本的咬合功能,不過,這部分還是要依照您的實際情況來決定,因為有些人的骨頭條件不夠理想,可能就要等幾個月等骨頭和植體長牢固,再裝正式的假牙。
立即植牙的成功要素
立即植牙是一項相當成熟且便利的技術,既能縮短療程,又能幫助保存骨頭和牙齦的外型,對於許多追求效率和美觀的患者來說,是很值得考慮的選擇,不過這畢竟還是屬於比較高階的手術,需要醫師有豐富的經驗,以及完善的術前評估和規劃,才能確保安全和成功率。如果您對立即植牙有興趣,會建議先來做個詳細的口腔檢查和影像評估,看看您的骨頭和牙齦狀況合不合適,整個過程都會陪您一步一步解釋,讓您了解每個細節,也會依照您的需求和預算提供最合適的治療建議。


