當缺牙不再是難題:上下顎多顆植牙全口重建深度解析
在門診中,我們常看到許多病患因為長年的牙周病或缺牙,導致進食困難、發音不清,甚至因為牙齦萎縮與咬合高度喪失,讓外貌顯得比實際年齡蒼老。面對這種複雜的情況,「植牙重建」就像是為口腔重新打入穩固的地基。

為什麼多顆缺牙需要「全盤規劃」?

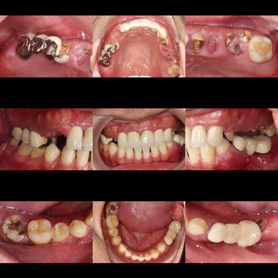
先行口腔內檢查,並結合環口式 X 光片與局部片作綜合判斷。
當口腔內缺失多顆牙齒時,剩餘的天然牙會因為承受過大的咬合力而加速損壞,這就是所謂的「力學過載」,需要針對患者的骨頭條件與咬合需求,進行了精密的佈點規劃。

術前數位照片可以看出缺牙狀況,方便與患者說明口內條件
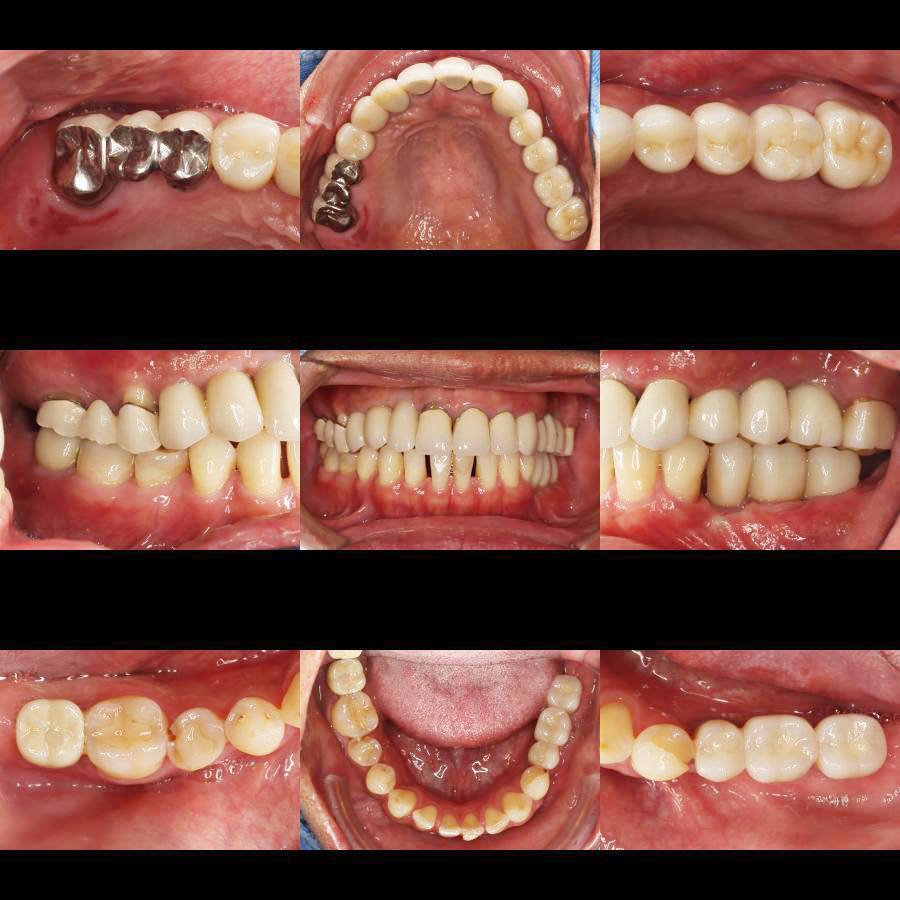
上顎:重建微笑曲線與支撐
上顎區域植入了多顆植體,特別是在前牙區與後牙區的配比。
前牙區: 恢復美觀與撕裂食物的功能。
後牙區: 提供強大的咀嚼支撐力。

下顎(Mandible):穩固的咬合基座
下顎骨質較硬,是主要的力學支撐點。
植體牙橋設計: 觀察影像下方,我們利用數顆植體支撐起整片假牙(牙橋設計),這能有效減少手術次數與費用,同時維持極佳的穩定度。
植牙重建的三大核心技術

咬合高度的重建 (Vertical Dimension):
多顆缺牙常導致臉部下三分之一塌陷,透過植牙,我們重新找回了患者失去的咬合高度,改善咀嚼功能。
力學分佈的平衡 (Force Distribution):

植體的分佈必須考慮到對咬牙的關係,影像中顯示,上下顎的植體位置精準對位,確保咬合力能垂直傳導至骨組織,避免植體鬆脫。


