當代牙醫梁嘉元醫師

人工植牙推薦:多顆植牙/後牙植牙

感謝梁嘉元醫師,全程細心溫柔又專業的技術,解決了我多年缺牙卻又無法處理的困擾。

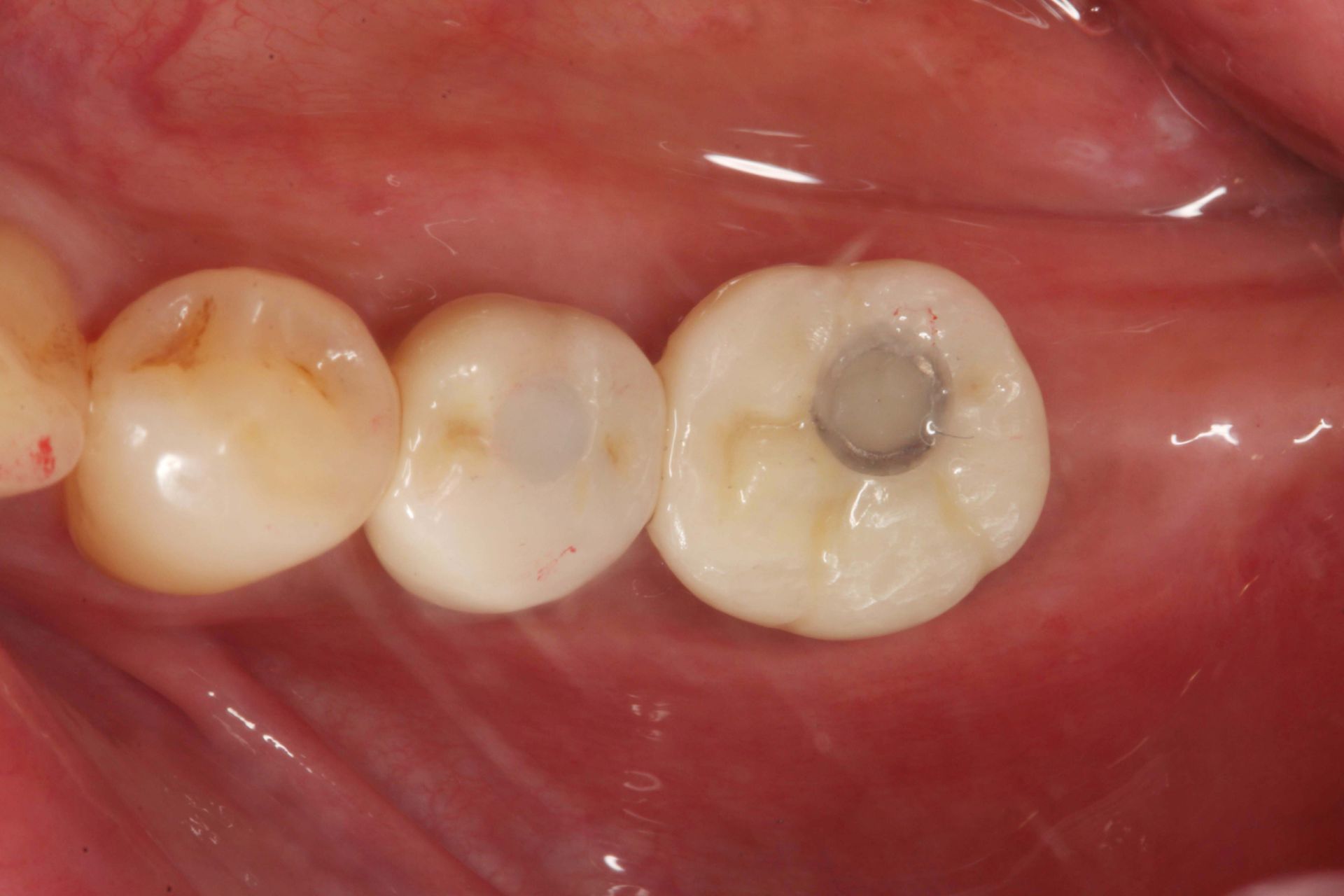
後牙連續缺失兩顆,很多患者一開始會覺得「反正後面還有牙齒」,或者「少兩顆用另一邊咬就好了」,但其實後牙是我們咀嚼的主力,長期缺牙會導致齒槽骨萎縮,甚至讓旁邊的真牙傾倒。

診所資訊

2025© Copyright All Rights Reserved