■ 治療方式:人工植牙/全瓷貼片/全瓷冠
■ 主治醫師:梁嘉元醫師

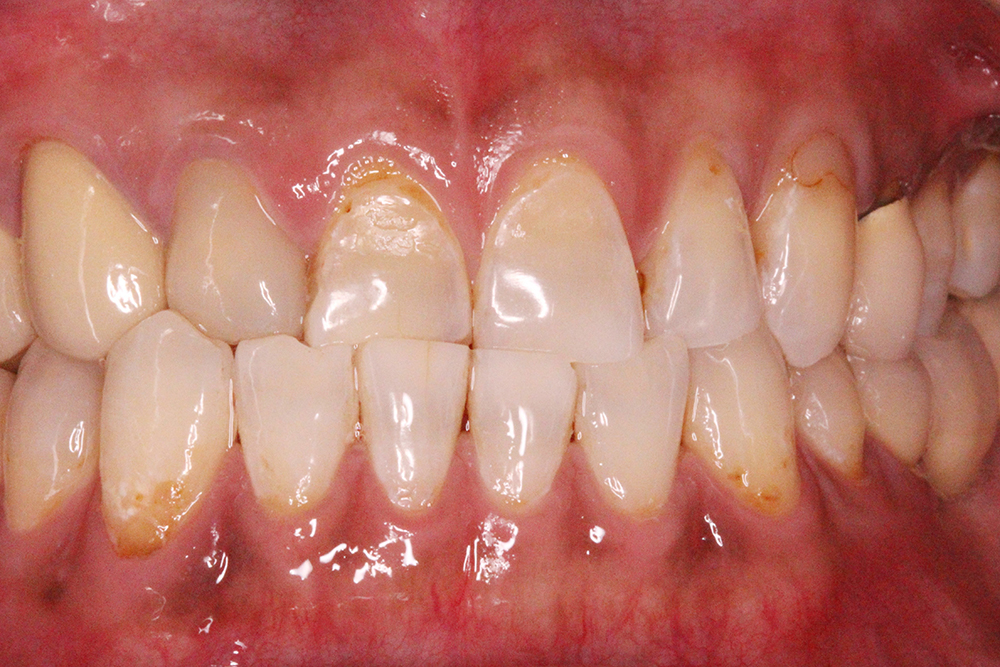
首先感謝梁嘉元醫師將我多年來牙齒無論是外觀、功能都做了最妥善的治療,原本我的下顎比較突出,所以下排的牙齒會包住上排的牙齒,雖然小時候矯正過,但是效果不好後來也慢慢的回去變成上下對齊著,於是上排牙齒被下排牙齒磨損很嚴重變薄甚至斷裂。

▲牙齒表面染色與變色、部分牙齒的切緣輕微崩裂

▲修復的缺角或磨損、改善齒型不佳
感謝梁嘉元醫師的建議將我的上下排運用全齒冠、貼牙片與植牙三種方法重建了一口外觀自然、美白而且功能性非常好的牙齒,也解決了下排牙齒突出的問題,而且很欣賞梁醫師對病患治療時的高要求與信心,因為梁醫師的細心,我們全家人的牙齒都是梁醫師照顧的。
謝謝梁醫師,幫我解決了長期無法解決的口腔的問題,謝謝!


