當代牙醫梁嘉元醫師

告別齒型遺憾!全瓷貼片帶來的無瑕自信

很感謝梁醫師的用心讓我在做假牙的過程中能很放心的等待完成品,也感謝所有的助理們的熱心照顧,讓我能有美美整齊的牙齒,你們都辛苦了!

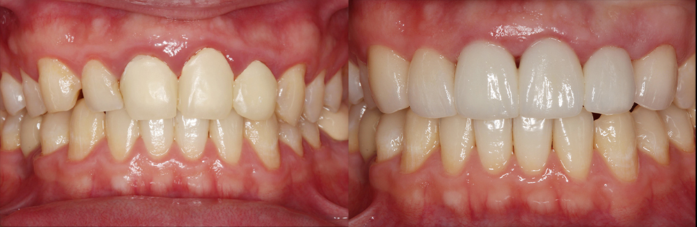
笑容加值計畫:上顎前牙全瓷貼片

一位 30 多歲的男士,他對自己的笑容一直很有想法,雖然牙齒基礎不差,但總覺得上顎前牙的比例與色澤可以更完美,希望能透過「全瓷貼片」讓整體形象更顯俐落、專業。

當正式的全瓷貼片裝上去的那一刻,那種自然通透的高級感,完美融入了他的臉型。

看到他對著鏡子露出滿意的笑容,我知道這段時間的精雕細琢都值得了。

診所資訊

2025© Copyright All Rights Reserved